A spinal cord stimulator is an implanted device under battery power. Doctors use these ‘pain pacemakers’ as they call them to treat certain pain conditions. Basically, they use them to send electrical signals to select areas of the spinal cord. The commonest use is relieving suffering among patients with failed back surgery syndrome.
Paralyzed People Walk Again with Spinal Cord Stimulator Technology
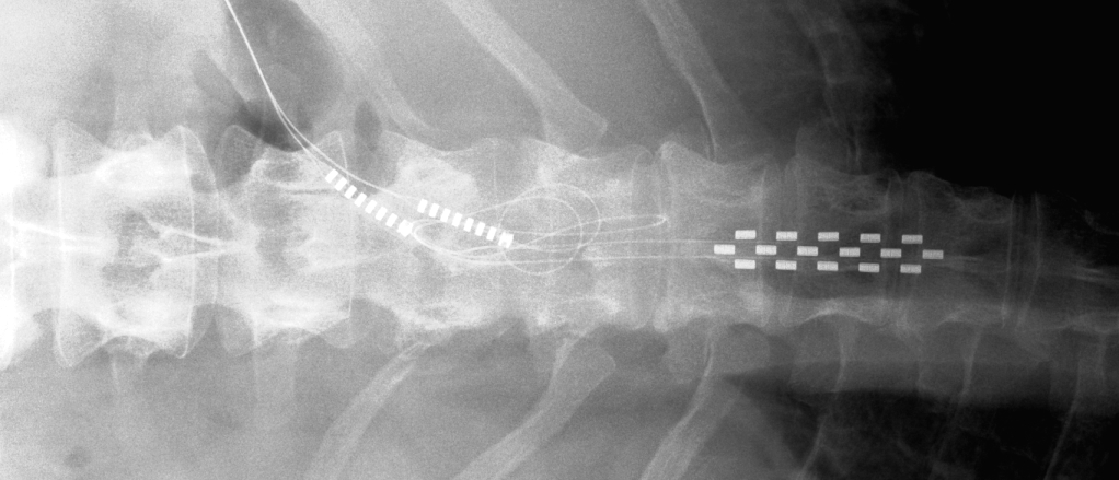
Swiss doctors have found a brilliant new application for a spinal cord stimulator. They recruited a man whom doctors thought would never walk again, because of a severed spinal cord. Then they inserted the device around his spine and used it to amplify signals from his brain to his legs.

He has been able to walk, albeit carefully for short periods. “To me it means a lot,” he told the BBC. “I’m surprised at what we have been able to do. I think you’ve got to try the impossible to make the possible, possible. It’s a lot of fun – it feels really good,” he explained. Remarkably, the doctors report, “the nerve fibers are re-growing and reconnecting the brain to the spinal cord.”
A Little about the Batteries Powering Spinal Cord Stimulators
A spinal cord stimulator uses a tiny battery that may last for several years depending on individual use. When it fails, a surgeon has to replace it. However there has been good progress with commercial rechargers placed on the patient’s skin over the device and sending a signal to its antenna.

The Swiss innovation is expensive, and not yet reliable enough for use outside the laboratory. It therefore does not appear to be a plausible option in its current state. However, the doctors believe, “It demonstrates we have a workable model of what is required to stimulate regeneration. Moreover that ultimately, paralysis is surmountable.”
Related
Researchers Develop New Way to Power Medical Implants
Implantable Bodily Devices Powered By Wireless Technology
Preview Image: Human Cervical Vertebra Cross Section