How Would We Know If We Had COVID-19?

Google+ Pinterest LinkedIn Tumblr +

If we were young and healthy, then having COVID-19 could be like a dose of the flu if we noticed. However, we would still be infectious and might make older people become ill. Folk like grandma and grandpa, even mum and dad could die. But how would we know if we had COVID-19 unless we knew the symptoms to watch for?

The Common Symptoms to Watch For COVID-19

If we had a fever or a chill, some virus may have got hold of us. If we have a worsening cough, shortness of breath, or difficulty breathing then we may have caught the coronavirus.

If we also had some kind of fatigue, body ache, new loss the sense of taste or smell, sore throat, congestion or runny nose, nausea, or vomiting and diarrhea then it’s a no-brainer. We could kill grandma, grandpa, even ma or pa if we don’t take precautions.

Nasty COVID-19 travels between people on their breath, or in the coughs and sneezes they dump on surfaces other people touch. Sure, wearing a face mask is a pain. However, if you carried a coffin of a loved one, you know what pain really is.

How Soon Would We Know We Had COVID-19?

That’s the big problem we all face. Symptoms can take two to fourteen days to show after we catch the disease. We might not know if we had COVID-19 during this period. We might not know we had the disease at all, but keep infecting other people.

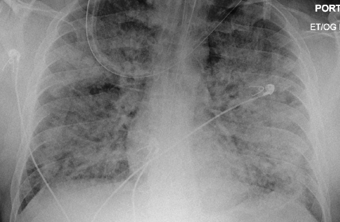
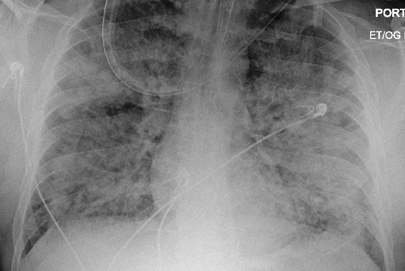
Young people could get seriously ill too. They could suffocate to death when their lungs fill with fluid from acute respiratory disease symptom, and they can’t breathe any more.   Their minds would grow dim as their lives ebbed away. We could spend the rest of our lives grieving a loved one. Just because we weren’t that concerned how we would know if we had COVID-19.

Related

Modeling the Onset of COVID-19 Symptoms

Six Different Clusters of COVID-19 Symptoms

Preview Image: Person with Severe ARDS

Share.

About Author

I tripped over a shrinking bank balance and fell into the writing gig unintentionally. This was after I escaped the corporate world and searched in vain for ways to become rich on the internet by doing nothing. Despite the fact that writing is no recipe for wealth, I rather enjoy it. I will not deny I am obsessed with it when I have the time. I live in Margate on the Kwazulu-Natal south coast of South Africa. I work from home where I ponder on the future of the planet, and what lies beyond in the great hereafter. Sometimes I step out of my computer into the silent riverine forests, and empty golden beaches for which the area is renowned. Richard

Leave A Reply