How to Protect Yourself Against Severe COVID

Google+ Pinterest LinkedIn Tumblr +

This is the third and final chapter in our brief summary of what we know about COVID-19 to date. We have described what a coronavirus is, and how to avoid and treat minor infections in previous episodes. Today we turn our attention to how to protect yourself against severe COVID-19, that could do you serious bodily harm even leading to the slow death none of us want.

Why a Laboratory Test Is the Only Way to Know for Sure

COVID-19 symptoms overlap with colds, influenza, and other respiratory diseases. To add to the confusion, you may show no symptoms and not feel ill at all. However, as an infected person you could still pass the disease on unknowingly. This is one of the reasons why the pandemic is so difficult to control.

But there is another sign to watch for. If a close contact at work or home displays the symptoms, they might have infected us too. Laboratory-moderated tests are freely available at hospitals, clinics, and drug stores. A COVID-19 test gives us assurance either way of our status. We owe it to ourselves and others to know.

If You Fail to Protect Yourself Against Severe COVID

It is not the end of the road if you contract the coronavirus disease. Tried and tested medication is available at hospitals, clinics, and drug stores. Mild treatment may be little more than medication to bring your fever down. Your medical provider can help with more advanced advice. Do not self-medicate.

However, if those treatments do not work, then you may have to go to hospital. They will give you steroids, oxygen, mechanical breathing support, and infusions of monoclonal antibodies as they believe best. You will have to surrender your independence to strangers when this happens.

At that stage you may wonder why you refused a free vaccination. You may wish you wore a face mask, and kept a safe distance from other people. You might have protected yourself better against severe COVID, you realize. But it is too late for that now. It could even be the end of your road.

Breaking News

What a Coronavirus Is and Why It Matters

How to Detect and Treat a COVID-19 Infection

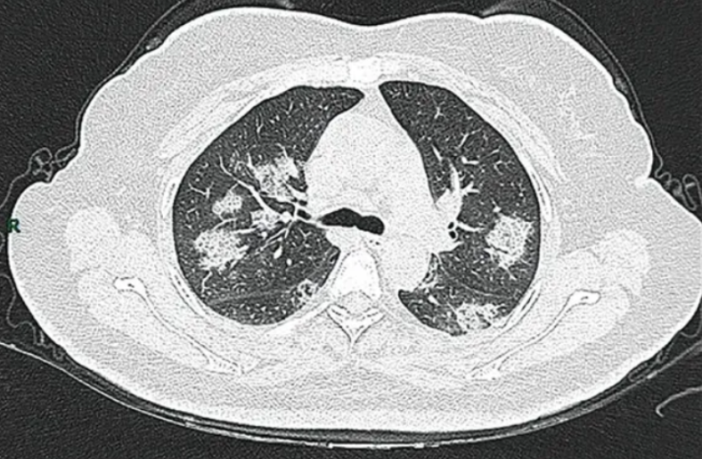
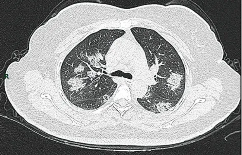
Preview Image: Rapid Pneumonia Progression

Share.

About Author

I tripped over a shrinking bank balance and fell into the writing gig unintentionally. This was after I escaped the corporate world and searched in vain for ways to become rich on the internet by doing nothing. Despite the fact that writing is no recipe for wealth, I rather enjoy it. I will not deny I am obsessed with it when I have the time. I live in Margate on the Kwazulu-Natal south coast of South Africa. I work from home where I ponder on the future of the planet, and what lies beyond in the great hereafter. Sometimes I step out of my computer into the silent riverine forests, and empty golden beaches for which the area is renowned. Richard

Leave A Reply